

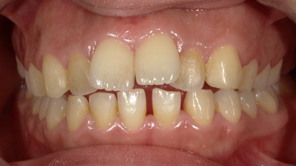
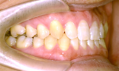
【治療名】インビザライン
【インビザライン価格】26万円〜68万円
【リスク】1日のマウスピースの使用時間と交換日数を遵守できない場合、計画通り歯が動かない可能性がある。
矯正治療中は噛みにくくなる場合がある。
※個人差があり、効果を保障するものではありません


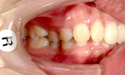
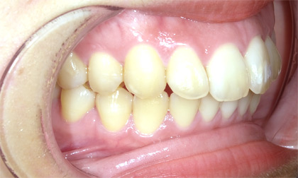
【治療名】インビザライン
【インビザライン価格】26万円〜68万円
【リスク】1日のマウスピースの使用時間と交換日数を遵守できない場合、計画通り歯が動かない可能性がある。
矯正治療中は噛みにくくなる場合がある。
※個人差があり、効果を保障するものではありません


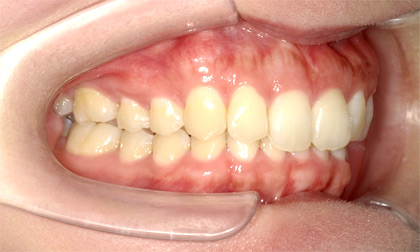
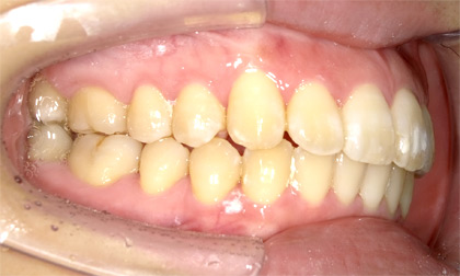
【治療名】インビザライン
【インビザライン価格】26万円〜68万円
【リスク】1日のマウスピースの使用時間と交換日数を遵守できない場合、計画通り歯が動かない可能性がある。
矯正治療中は噛みにくくなる場合がある。
※個人差があり、効果を保障するものではありません


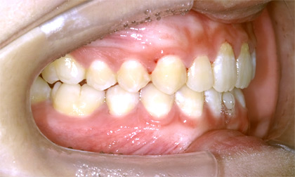
【治療名】インビザライン
【インビザライン価格】26万円〜68万円
【リスク】1日のマウスピースの使用時間と交換日数を遵守できない場合、計画通り歯が動かない可能性がある。
矯正治療中は噛みにくくなる場合がある。
※個人差があり、効果を保障するものではありません


【治療名】インビザライン
【インビザライン価格】26万円〜68万円
【リスク】1日のマウスピースの使用時間と交換日数を遵守できない場合、計画通り歯が動かない可能性がある。
矯正治療中は噛みにくくなる場合がある。
※個人差があり、効果を保障するものではありません


【治療名】インビザライン
【インビザライン価格】26万円〜68万円
【リスク】1日のマウスピースの使用時間と交換日数を遵守できない場合、計画通り歯が動かない可能性がある。
矯正治療中は噛みにくくなる場合がある。
※個人差があり、効果を保障するものではありません


【治療名】インビザライン
【インビザライン価格】26万円〜68万円
【リスク】1日のマウスピースの使用時間と交換日数を遵守できない場合、計画通り歯が動かない可能性がある。
矯正治療中は噛みにくくなる場合がある。
※個人差があり、効果を保障するものではありません